• Skip to main content
  • Skip to header right navigation
  • Skip to site footer

  • Twitter
  • YouTube
NASBS

NASBS

North American Skull Base Society

  • Home
  • About
    • Mission Statement
    • Bylaws
    • NASBS Board of Directors
    • Committees
      • Committee Interest Form
    • NASBS Policy
    • Donate Now to the NASBS
    • Contact Us
  • Meetings
    • 2027 Annual Meeting
    • Abstracts
      • 2026 Call for Abstracts
      • NASBS Poster Archives
      • 2025 Abstract Awards
    • 2026 Recap
    • NASBS Summer Course
    • Meetings Archive
    • Other Skull Base Surgery Educational Events
  • Resources
    • Member Survey Application
    • NASBS Travel Scholarship Program
    • Research Grants
    • Fellowship Registry
    • The Rhoton Collection
    • Webinars
      • Research Committee Workshop Series
      • ARS/AHNS/NASBS Sinonasal Webinar
      • Surgeon’s Log
      • Advancing Scholarship Series
      • Trials During Turnover: Webinar Series
    • NASBS iCare Pathway Resources
    • Billing & Coding White Paper
  • Membership
    • Join NASBS
    • Membership Directory
    • Multidisciplinary Teams of Distinction
    • NASBS Mentorship Program
  • Fellowship Match
    • NASBS Neurosurgery Skull Base Fellowship Match Programs
    • NASBS Neurosurgery Skull Base Fellowship Match Application
  • Journal
  • Login/Logout

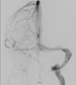
Case Study 1

55 year-old female deaf since childhood. 2 year history of ear pain, dysarthria, and dysphagia. Examination reveals tongue deviation to the right with hemiatrophy, decreased gag, right shoulder droop.

  • MRI 1
  • MRI 2
  • MRI 3
  • MRI 4
  • MRI 5
  • MRI 6
  • MRI 7
  • Arteriogram 1
  • Arteriogram 2
  • Arteriogram 3

[formidable id=12]

Copyright © 2026 North American Skull Base Society · Managed by BSC Management, Inc · All Rights Reserved